Hot Posts

6/recent/ticker-posts

Relatos de Implantes alienígenas em pessoas (Registro)

Implantes alienígenas
Esta notícia é velha ou é nova?  Bem, está acontecendo agora. E quantas pessoas sabem a respeito das últimas descobertas (EVIDÊNCIA FÍSICA) sobre os implantes extraterrestres?  A partir das pesquisas do cirurgião de pés, Roger Leir, do cientista químico de materiais (e perito em nano tubo tecnológico) Steve Colbern, e do físico Robert Koontz, irei resumí-las para você.

Implantes dos alienígenas ‘grey‘:  Um fenômeno mundial, ou talvez localizado por regiões, mas muitos casos eles são fisicamente detectáveis.  Você notou um objeto estranho após um sonho estranho, ou paralisia durante o sono?  Respostas prosaicas provavelmente serão suficientes, mas em alguns casos… implantes de alienígenas avançados têm sido detectados.

Do que eles são feitos:  Muitas vezes de ferro meteórico (com isótopos não encontrados na Terra), com cobalto e quantidades significativas de irídium.  Eles contêm taxas que não ocorrem naturalmente na Terra.  Um era da classe de meteoritos de níquel e ferro, chamados de hexahedritos.  Especulativamente: isótopos mais pesados poderiam ter sido formados próximos ao núcleo galáctico e/ou devido as supernovas.

Normalmente eles são irregulares e cobertos com uma casca dura e oleosa, que previne a rejeição pelo corpo [humano].  Eles não produzem reações imunes.  Um tecido biológico cresce a partir do metal.  Este tipo de coisa foi visto com um Microscópio Eletrônico EDX.

Antes de serem removidos, alguns implantes emitem um sinais de rádio com radiação eletromagnético FM, em frequências escalares de 93 MHz, 15 MHz, ou até mesmo uma frequência usada em satélites de comunicação.  Eles parecem ter uma camada em sua superfície que é sensível aos fótons, para que retransmita ondas sonoras. Eles contêm eletrônicos em nano tubos de carbono, que não são encontrados na natureza (Steve Cobern).  Eles parecem ser nano tubos de parede única.  

Steve Colbern, cientista de materiais químicos, diz que eles são mais avançados do que a tecnologia formal da Terra (e possivelmente até da tecnologia secreta).  Roger Leir menciona que eles são encontrados em muitas regiões da superfície do corpo, mas também próximos aos ossos.  Células nervosas se conectam a esses dispositivos.  Alguns dos objetos possuem campos magnéticos fortes de mais de 10 milligauss.

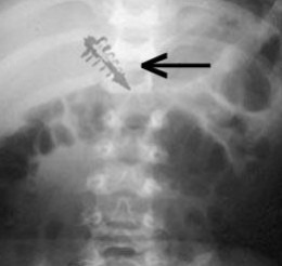
Quinze por cento dos abduzidos mostram sinais significativos de brilho fluorescente na área da pele por até um mês (detectáveis com UV-A, porém mais com UV-B e UV-C).  Pequenos detectores de metais e medidores de raios-X e de Gauss podem detectá-los no corpo.  É claro, se for difícil de detectá-los com raios-X, uma tomografia computarizada pode localizá-los mais precisamente.

Não há sinais visíveis de como o implante foi feito.  Se os sinais de entrada do implante forem detectados logo após o evento, eles cicatrizam e não deixam nenhuma marca em um ou dois dias.  Aproximadamente 24 implantes já foram recuperados.

Alguns implantes possuem estruturas cristalinas regulares em forma de losango de cloreto de sódio, de vários tamanhos (Steve Colbern).  Talvez estes sejam usados para gerar frequências de rádio escalares (Bob Koontz).  Muitas vezes, quando o cirurgião de pés Roger Leir tenta removê-los com aço cirúrgico, eles “fogem” do bisturi.

Se aproximadamente 2% da população dos EUA que possui vários sinais de abdução for realmente indicativo, talvez o número de pessoas com implantes seja, relativamente falando, muito grande…


Font: exonews.org

Random Posts


IMÓVEIS POPULARES